That also arises from myeloid dendritic cells. Thrombocytopenia 100000 plateletsmL and hypoalbuminemia were found to be negatively associated with prognosis and were predictive of 1 month survival.

Childhood Soft Tissue Sarcoma Treatment Pdq Pdq Cancer Information Summaries Ncbi Bookshelf
HS may occur as a sporadic illness or may be clonally related to a separate synchronous or metachronous hematologic malignancy such as follicular lymphoma or acute lymphoblastic leukemia.

Histiocytic sarcoma survival rate. A histiocyte is a type of macrophage that is found in the bodys. The overall survival of those with de novo HS was 70 months compared with 118 months for those with secondary HS with a mean difference of 582 months 95 confidence interval 262-902 months. The survival of the second patient was shorter 3 months after receiving three cycles of ICE.
Conclusions and Clinical Importance. Surgery alone or in combination with radiotherapy was associated with a prolonged overall survival in patients with skin and connective tissue disease Leuk Lymphoma 201960553 Surgical treatment showed some statistically insignificant improvement in overall survival in patients with gastrointestinal and lung disease. The median age in case series at presentation is 46 years.
A subset of dogs with localized histiocytic sarcoma treated with aggressive surgery and chemotherapy can enjoy long term survival on average between 15 to 3 years The prognosis for hemophagocytic histiocytic sarcoma is considered grave 2months. Results suggest that CCNU is active against canine histiocytic sarcoma and may be. In general dogs that present with thrombocytopenia anemia or decreased albumin typically have a poorer prognosis.
36 Canine histiocytic sarcomas. Lymph nodes spleen nonlymphoid - Histiocytic sarcoma. 1 The disseminated form is very similar to a more aggressive disease known as malignant histiocytosis which forms multisystem lesions simultaneously.
The 3-year actuarial survival in familial HLH with this approach has been reported as approximately 50 to 55 overall but 64 following HSCT. Dogs with localized lesions treated with surgery and chemotherapy often have survival times of greater than one year. Two dogs had local recurrence and eight dogs developed metastatic disease with a median time to relapse of 201 days in these 10 dogs.
The median survival time for all 16 dogs was 568 days. Very few pets survive for 4 months and none for a year after the onset of the disease. Histiocytic sarcoma is a localized neoplasm of myeloid dendritic cells that may become disseminated over time at which point the condition is termed disseminated histiocytic sarcoma.
A pet may survive for a month and only 20 percent of affected pets survive for a year after the onset of the disease. In cases of disseminated histiocytic sarcoma prognosis is very poor. With the addition of oral chemotherapy Lomustine survival times improve to approximately 4-6 months.
Other signs depend on the organs involved and are usually a consequence of destructive mass formation. This is an interesting observation because in human STS hypoxia has been associated with high histological grade 43 and a shorter disease-free survival. In humans survival rates and the average length of survival are difficult to calculate because of the rarity of the condition.
The median disease-free interval was 243 days. Malignant Histiocytic Disorders Malignant sarcomas of both the macrophage and the dendriticLangerhans cell can occur and. Overall response rates to treatment are poor and survival times are short 3-4 months.
The median survival of all 59 dogs was 106 days. Technically speaking the term histiocytic lymphoma is outdated and no longer in widespread use inasmuch as it once referred to a subtype of non-Hodgkins lymphoma that today we would very likely classify as an anaplastic large cell lymphoma ALCL. Some research has shown that patients who have an advanced stage of the disease have an average survival of about seven months after diagnosis although it is possible to survive for many years with less-advanced stages of the disease.
HS has been diagnosed in all age groups but is more common in adults. For example if there is a large mass in the lungs a dog may experience coughing or difficulty breathing. Dogs with histiocytic sarcoma typically have non-specific signs such as anorexia weight loss and decreased energy.
The mean overall survival during the study period was 541 months. Histiocytic sarcoma HS is an extremely rare non-Langerhans histiocyte disorder of unknown cause that most commonly presents with symptoms due to unifocal or multifocal extranodal tumors.

Impact Of Surgery Radiation And Systemic Therapy On The Outcomes Of Patients With Dendritic Cell And Histiocytic Sarcomas Sciencedirect

Clinicopathological Characteristics Of Histiocytic Sarcoma Affecting The Central Nervous System In Dogs Toyoda 2020 Journal Of Veterinary Internal Medicine Wiley Online Library

Lymph Node Size And Therapy Dates Of The Histiocytic Sarcoma Patient Download Scientific Diagram

Mortality And Survival Rates Bmus The Burden Of Musculoskeletal Diseases In The United States

Childhood Soft Tissue Sarcoma Treatment Pdq Pdq Cancer Information Summaries Ncbi Bookshelf

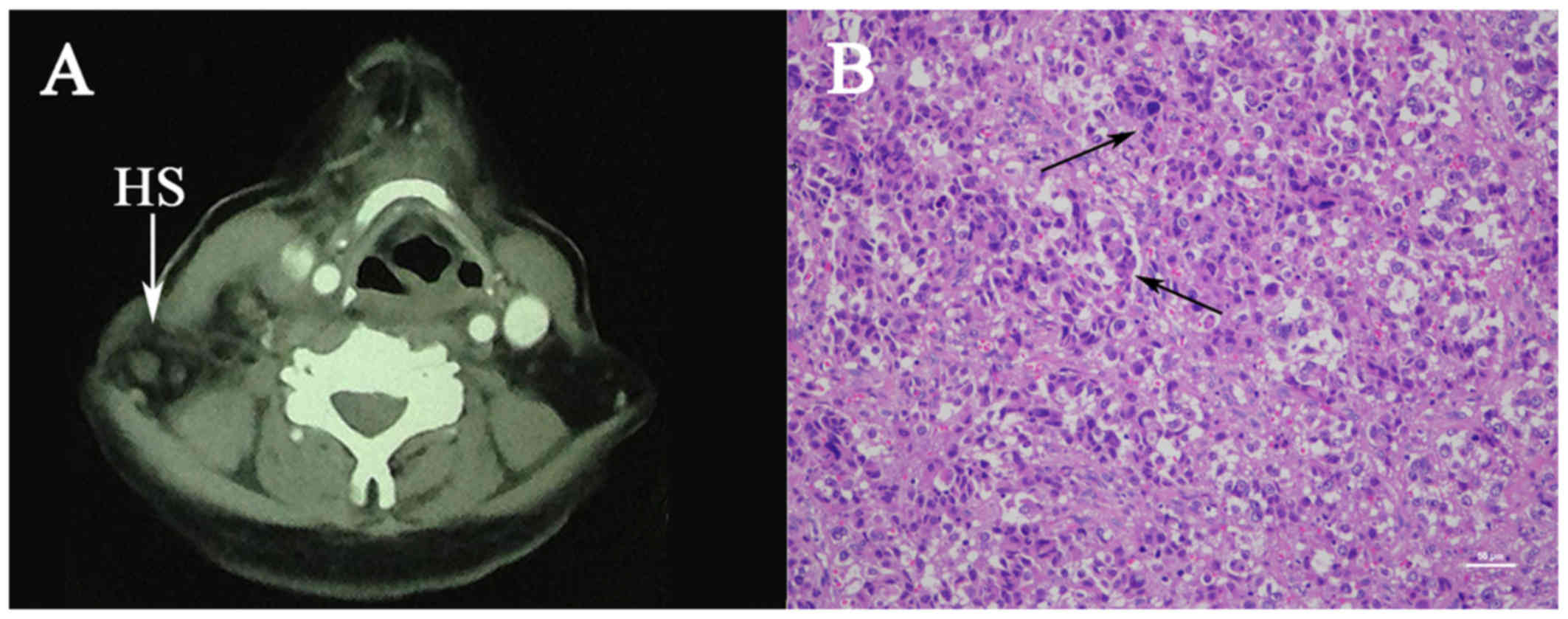
Histiocytic Sarcoma Of The Neck A Case Report

Histiocytic Sarcoma A Study Of Five Cases Including The Histiocyte Marker Cd163 Modern Pathology

Overall Survival In Histiocytic And Dendritic Cell Neoplasms A Download Scientific Diagram

Histiocytic Sarcoma A Study Of Five Cases Including The Histiocyte Marker Cd163 Modern Pathology

Cureus Unusual Presentation Of A Rare Tumor Histiocytic Sarcoma Presenting As A Finger Growth

Impact Of Surgery Radiation And Systemic Therapy On The Outcomes Of Patients With Dendritic Cell And Histiocytic Sarcomas Sciencedirect

Outcome Comparison Between Radiation Therapy And Surgery As Primary Treatment For Dogs With Periarticular Histiocytic Sarcoma An Italian Society Of Veterinary Oncology Study Marconato 2020 Veterinary And Comparative Oncology Wiley Online Library

Clinical Prognostic Factors In Canine Histiocytic Sarcoma Dervisis 2017 Veterinary And Comparative Oncology Wiley Online Library
ads
Search This Blog
Blog Archive
- January 2023 (7)
- October 2021 (18)
- September 2021 (22)
- August 2021 (21)
- July 2021 (21)
- June 2021 (20)
- May 2021 (12)
Labels
-
Bible Studies — Wednesday in the Word . Wednesday in the Word Bible Studies How to use these studies: Over the course of a week, work ...
-
Cities That Start With X From Around the World . 27 rows Towns like Xiva De Morella in Spain began as walled cities and still include...
-
Cardiac arrest in a patient with acute myocardial infarction or a complication of medical care eg. Indeed failure to rescue is now viewed as...